About
Immediacy represents the evolution of implant dentistry, where precision, biology, and digital logic converge to deliver predictability in the most demanding scenarios.
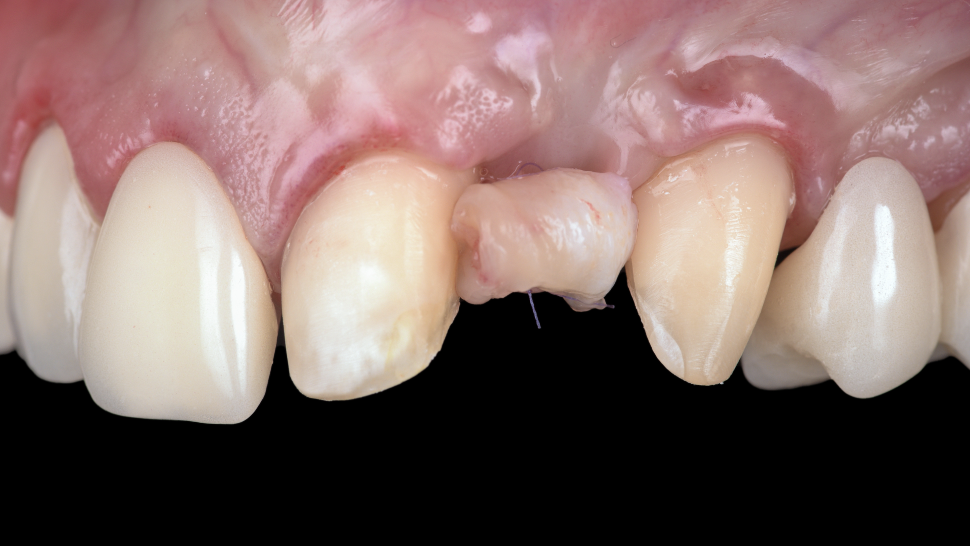
This 2-day course is designed for clinicians seeking to master immediate implant placement and loading protocols within a fully guided, digitally integrated workflow.
You will learn:
How to design, plan, and execute immediate protocols for All on X
Preserve tissue architecture and minimize shrinkage
Optimize long-term esthetic stability.

DAY 1: The Logic of Immediacy
From Planing to Execution
Morning
Lecture 1: The Digital-Surgical Interface
Lecture 2: Stackable Guided Systems for All-on-X

Afternoon
Live Surgery: Immediate Loading in the Terminal Dentition
Debrief: Reflection on case outcomes and decision-making protocols.

DAY 2: Execution, Materials & Maintenance
From Digital Precision to Long-term Stability
Morning
Lecture 3: Immediate Provisionalization and Material Choices
Lecture 4: Immediate Anterior Protocols

Afternoon
Live surgery: Tissue Reconstruction in the Aesthetic Zone
Panel Discussion – Surgical and Prosthetic Synchrony
Q&A and summary of clinical takeaways
Closing Discussion & Certificate Ceremony

Meet the speakers
Get inspired by our lineup of industry experts who will share their insights and expertise.

Dr. David Norré
Specializes in digital workflows for full-arch implant surgeries, enhancing predictability and patient outcomes.
His STAR technique is widely recognized in both the EU and the USA for its effectiveness in treating terminal dentition with All-on-X solutions.

Dr. Venceslav Stankov
Specialist in implantology, and microsurgery, focusing on minimally invasive soft tissue restoration.
Chief Doctor at Dr. Stankov Dental Clinique in Plovdiv, Bulgaria, leading a team of 24 professionals.

Dr. Florin Cofar
Co-founder of Smilecloud, is known for pioneering digital workflows that integrate facially driven design with advanced restorative planning, elevating both predictability and patient outcomes.
Book your seat
€3700 + VAT tax
Seats are limited and confirmed upon payment.
Included in this price: single seat participation, breakfast and coffee breaks, lunch and dinner with the team on day 1.
Discounts are available for groups of 4+ participants. Reach out to our team for details.
Timisoara Traian Vuia Airport has direct daily connections to both Munich and Frankfurt airports for people flying in from far countries. There are also direct flights to and from many European cities. Alternatives to Timisoara Airport we have Budapest Airport in Hungary - 3h Drive from Timisoara and transfer companies are available. Belgrade Airport in Serbia - also 3h drive from Timisoara, accessible via transfer companies.
As course organisers we have special discounts for our participants at partner hotels. Upon booking your trip, our team can offer logistic support and accomodation reccomendations.
Participants wishing to cancel their registration must submit a cancellation request in writing via email to the event support team at least 60 days prior to the event start date. Cancellation requests received less than 30 days before the event start date may not be eligible for a refund. Exceptions may be made at the discretion of Dentcof in cases of emergency or extenuating circumstances.
No-Show Policy: Participants who do not attend the event and have not submitted a cancellation request will not be eligible for a refund.
Transfer of Registration: Transfers of registration are generally not permitted, but exceptions may be made. The new participant must meet all attendance requirements. Please contact customer support at least 14 days prior to the event.